Brow bone implant designs are customized based on how much projection, width, and shape are needed along the lower forehead and eye area. Based on my extensive custom facial implant experience there are numerous design patterns that patients have needed for specific aesthetic enhancements. These various designs are based on differing brow bone anatomic zones.

- Central brow (glabella) – midline projection and depth correction
- Supraorbital rim – primary brow ridge contour
- Lateral brow – width and outer orbital framing
- Suprabrow break – transition zone between brow and forehead
- Forehead slope (when combined) – harmonization of upper facial contours
Based on these anatomic zones there are different types of brow
bone implant designs which can be categorized into:
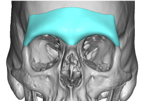
1. Full Brow Bone Implant

Best for: Global brow deficiency, facial masculinization
Effect:
- Strong, continuous brow ridge
- More dramatic upper-face definition
Design traits:
- Wraps the orbital rim
- Controlled projection to avoid eye “deep-set” appearance
2. Central Brow (Glabellar) Implant

Best for: Flat mid-brow, deep glabellar valley
Effect:
- Correction of depressed glabella
- Low central forehead augmentation
- Brow bone ridges unaffected
Design traits:
- Localized thickness increase (usually 3–6 mm)
- Smooth feathering into central forehead and upper medial brow bone ridges\
3. Supra Brow Bone Implant

Best for: forehead deficiency above the brow bones
Effect:
- Lessens brow ridge prominence
- Smoother forehead contour in profile
Design traits:
- Fills in the suprabrow bone break valley
- Still leaves some suprabrow bone break
4. Lateral Brow Bone Implants

Best for: Flat or sloped lateral brows
Effect:
- Stronger outer brow
- Improved orbital width and eye framing
Design traits:
- Thicker laterally, thinner medially
- Usually stops at supraorbital nerve foramen
5. Brow Bone + Infraorbital (EyeMask) Implants

Best for: Lack of orbital rim projection
Effect:
- Reduced eye prominence
- Improved eyelid support
Design traits:
- Continuous increase in orbital rim projection with the exception of medial orbital wall.
- Supraorbital rim projection is still anterior to infraorbital rim projection.
6. Combined Forehead + Brow Bone Implant

Best for: Flat forehead with recessed brows
Effect:
- Harmonized forehead-to-brow transition
- Strong upper-face balance
Design traits:
- One-piece design
- Brow bone and forehead slope projections are not usually similar
While not a big anatomic area it can be surprising how many different varieties of implant designs can be done for the lower half of the forehead to treat differing aesthetic bony deficiencies.
Dr. Barry Eppley
World-Renowned Plastic Surgeon





