Introduction
Unlike facial implants, there are no standard implants available for aesthetic skull augmentation. This reflects both the relatively low frequency of such procedures and the highly individualized nature of each patient’s skull contour concerns. The ideal shape and thickness of a skull implant must be customized to each patient’s anatomy and aesthetic goals.
Because skull implants cover a large surface area, any irregularities or undesired aesthetic effects are highly visible. In smaller implants, minor dimensional discrepancies may go unnoticed, but even small deviations in large implants can create significant visual differences. This principle underscores the value of custom design in cranial augmentation.
A custom skull implant—created from a patient’s 3D CT scan—provides the best opportunity to achieve an optimal aesthetic outcome. While not a guarantee of perfection, custom design allows the most accurate preoperative prediction of what is likely to produce the best result.
That said, due to cost or logistical limitations, some patients inquire about using an existing (non-custom) implant. In select cases, if the skull shape and area of deficiency are similar, a preexisting implant design may still produce a satisfactory result. Stability does not require perfect adaptation to the skull surface; with secure screw fixation and natural tissue encapsulation, an implant will remain in place. The critical question is how well the aesthetic result aligns with the patient’s expectations—and, if not, how best to correct it with a new custom implant.
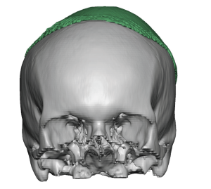
Case Study
Eight years ago, a young female patient sought aesthetic skull augmentation to enhance the crown and upper back of her head. At that time, she lacked access to a 3D CT scan and the financial means for a custom implant. Instead, a previously designed custom implant from another female patient—with similar aesthetic goals—was used.



The new custom implant was inserted after opening the capsule and extending its lower edge to the nuchal ridge of the occipital bone. This inferior extension and reshaped contour achieved a smoother, more natural head profile. The incision was closed without the need for a drain.

Discussion
Every patient has a unique head size and contour, making non-custom skull implants inherently suboptimal for aesthetic purposes. I have used such implants only rarely, and in each instance, patients eventually transitioned to a custom design to achieve their desired outcome.
Interestingly, revisions are not limited to non-custom cases. Even patients with custom implants may later choose to modify their shape or volume after living with their results for some time. Most often, they seek additional augmentation while maintaining the same general shape.
From a surgical standpoint, replacing an existing skull implant is generally easier for the patient than the initial procedure, as the implant pocket already exists. Ironically, the second operation can be more technically demanding for the surgeon, since working within a scarred and encapsulated pocket presents challenges not encountered in the primary surgery. Fortunately, these difficulties do not translate into a more difficult recovery for the patient.
Key Points
- Standard skull implants do not exist. Previous custom designs from other patients can sometimes be adapted, but the results are less predictable.
- Custom skull implants offer the most accurate and reliable postoperative contour and projection.
- An existing implant provides an excellent reference for designing an improved, second-generation custom implant to refine the aesthetic outcome.
Barry L. Eppley, MD, DMD
World-Renowned Plastic Surgeon





