A revision bony genioplasty is a secondary surgery to correct problems from a prior sliding genioplasty. It’s done when the first chin operation didn’t heal, position, or look the way it was intended—or when changes over time create new issues.
Common reasons for revision
- Malposition: chin too far forward/back, too high/low, or asymmetric
- Nonunion or malunion: the bone didn’t heal properly
- Contour irregularities: step-offs, notching, visible edges
- Over- or under-projection
- Hardware issues: plate/screw visibility or discomfort
- Soft-tissue problems: ptosis, chin pad asymmetry, mentalis muscle dysfunction
What revisional bony chin surgery may involve
Depending on the problem, a revision can include:
- Re-osteotomy and repositioning of the chin segment (most common)
- Bone grafting (often corticocancellous) for gaps, resorption, or nonunion
- Plate and screw removal/replacement
- Contour smoothing or reduction
- Adjunctive implant use (select cases) or fat grafting for soft-tissue balance
- Mentalis muscle repair if there’s chin droop
Why revisions are more complex
- Scar tissue and altered anatomy
- Compromised blood supply
- Less bone stock
- Higher need for rigid fixation and grafting
Because of this, revisions are more technically demanding than primary genioplasties.
Recovery considerations
- Swelling may last longer than after a primary procedure (usually it does not
- Bone healing typically takes 8–12 weeks
- Temporary numbness of the lower lip/chin is common; permanent sensory changes are uncommon but possible
- Soft-tissue refinement can take 3 to 4 months
Key planning factors
- 3D CT imaging is most informative x ray, lateral cephalometric and panorex at a minimum
- Clear goals: functional vs aesthetic vs both
- Determine dimensional bony positional changes needed
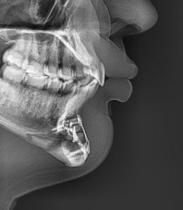
Case Study



Discussion
In considering revision genioplasties that requires bony repositioning here are the key considerations:
Define the Problem Precisely
Do not plan a revision until you can label it clearly:
|
Problem |
Surgical Implication |
|
Malposition (AP / vertical / asymmetry) |
Re-osteotomy & reposition |
|
Nonunion |
Bone graft + rigid fixation |
|
Bone deficiency / resorption |
Structural grafting |
|
Overprojection |
Setback or reduction genioplasty |
|
Contour irregularity |
Burring ± onlay graft |
|
Soft tissue ptosis |
Mentalis resuspension ± graft |
Many revisions involve multiple categories.
Osteotomy Strategy
A. Re-osteotomy considerations
- Expect dense scar tissue and altered landmarks
- Osteotomy often must be slightly higher or lower than original cut
- Maintain ?5 mm clearance from mental foramen
- Use guarded saw + osteotomes to protect nerve
B. Segment control
- Mobilize fully — partial mobilization leads to relapse
- Release inferior border scar bands if vertical change planned
- Check passive seating before fixation
Fixation & Bone Grafting
A. Fixation principles
- Rigid fixation is mandatory
- Prefer new titanium plates
- Avoid reusing old screw holes when possible
- Consider dual-plate fixation for:
- Vertical lengthening
- Nonunion
- Large advancements
B. Bone grafting
Indications:
- Nonunion
- Gaps >3–4 mm
- Vertical lengthening
- Bone resorption
Options:
- Autogenous corticocancellous graft (ideal but almost never used)_
- Allogeneic (tissue bank) corticocancellous chips, used in almost all osteotomy cases
- Pack graft tightly into all gaps after plate fixation applied
Revision genioplasties have a high rate of success because the end aesthetic outcome and how to get there is better understand than the primary procedure. Good bony healing typically occurs in a secondary genioplasty as well as the first time.
Dr. Barry Eppley
Plastic Surgeon


